Car Manufacturer Stacks Seven-Car Tower to Demonstrate Body Durability

Chinese car manufacturer Chery came up with an unusual marketing pitch to promote its new eQ7 electric crossover – building a tower of cars to show how durable its aluminum body is. China’s electric vehicle production is firing on all cylinders these days, and manufacturers are coming up with all kinds of marketing strategies to […]
Content Creator Willingly Eats tapeworm-Infested Fish for Views

23-year-old Nichola Kratka, a self-described ‘extreme eater’, deliberately ate a fish infested with tapeworms and filmed himself doing it in the hopes of going viral on TikTok. It’s shocking what some people will do for a bit of online attention these days. Take this young Florida content creator who, after catching a tapeworm-infested bass while […]
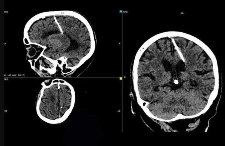
80-Year-Old Woman Discovers That She Has Lived with Metal Needle in Her Brain All Her Life

After undergoing a CT scan, an 80-year-old woman from Russia’s Sakhalin region discovered that she had a 3cm metal needle lodged in the left side of her brain. Photos of the woman’s CT scan results were recently released by the Sakhalin Ministry of Health, along with a shocking explanation. Taking into consideration the woman’s age, […]