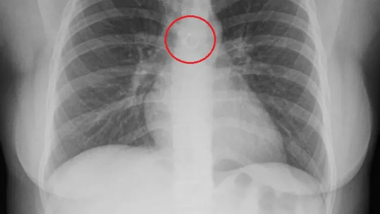
Monica Deyanira Cabrera Barajas had developed an annoying cough for about a month when she decided to see a doctor about it. She expected the X-ray to reveal a problem, but what she definitely didn’t expect to see was her nose piercing.
In a TikTok video that received millions of views, Deyanira said that she initially didn’t even notice that her septum piercing was missing, and when she finally noticed its absence, she certainly never for a second thought she had inhaled it by mistake.

“The only theory I have, which I told the pulmonologist, is that I fell asleep, the little ball fell out, and that was it,” Deyanira told creatorzine.com. “I was lying on my back, I didn’t realise, and that’s how I messed up.”
Deyanira’s initial shock soon turned into fear for her life, as the doctors told her that the circular metal barbell was just 0.5 millimetres from her aorta. She was scheduled for emergency surgery, but what was supposed to be a 20-minute procedure ended up taking almost an hour and a half and ended in failure.
It ended up taking an hour and 20 minutes, and they still couldn’t remove it because it was attached to my body,” the 26-year-old woman said, adding that she needed to undergo a second, more complicated procedure to have the nose piercing removed.
Luckily for Cabrera Barajas, the second procedure was a success, but doctors told her that she was extremely lucky to be alive. If the metal piercing had punctured her lung or her largest blood vessel, she likely would have died due to a collapsed lung or a perforated aorta.
“I love piercings, and I really liked my septum piercing, but in my case, I wouldn’t get it again because of the terror I experienced,” Deyanira said.
As for how her piercing detached from her septum and wound up in her lungs, the young woman believes one of the metal stoppers on one end fell off, and the ring simply fell into her throat while she was sleeping on her back, and she inhaled it.